当院のインプラント
当院では「ワンピース一回法」という方法でインプラントを行っております。
こちらの治療は手術が一回で完了するため、二回法に比べて治療期間が短く費用もおさえられます。
インプラント本体には「ハイドロキシアパタイト」という成分がコーティングされているため、骨と早く強固に結合し、安定しやすくなっております。
さらに、当院では「抜歯即時インプラント」という治療も行っており、こちらの治療は歯を抜いたその日にインプラントを埋め込む方法で、従来よりも治療期間を短縮することができます。
当院の院長は日本先進インプラント医療学会において、「抜歯即時インプラント」に関する発表を行い、インプラント専門医の資格を取得しました。
インプラントについてもっと詳しく知りたい方は右のボタンをクリックしてご覧ください!
インプラントについてもっと詳しく知りたい方は下のボタンをクリックしてご覧ください!
インプラント料金
| インプラント1本(かぶせもの込み) | インプラント1本 (かぶせもの込み) |
231,000円~ |
※消費税10%を含んでおります。
※お支払方法は現金のみとなっております。
施術例①
治療前
施術前のレントゲン写真です。
一番奥の歯の根元の部分が黒っぽくなっているのがわかります。歯の根元の部分がグラグラで今にも抜けてしまいそうな状態です。
治療中
抜歯と同時にインプラントの土台を埋め込みました。
2ヶ月後の状態です。
治療後
インプラントの土台に、セラミック冠をかぶせました。
見た目も天然の歯とほぼ変わらず、自然な仕上がりになりました。
施術例②
治療前
前歯が歯周病のためグラグラで今にも抜けてしまいそうな状態です。
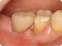
治療後
抜歯と同時にインプラントを植立し、3ヵ月後にセラミックの冠を装着しました。
治療前と治療8ヵ月後のレントゲン写真です。
手術時に足した人工骨も安定しています。
施術例③
治療中
治療途中の写真です。
前歯の部分は骨が無いためインプラントを入れる場合、骨移植などの手術が必要です。
大掛かりな事はせず骨の有る部分にだけ、インプラントを4本埋め込みました。
治療後
固定式のセラミックのブリッジで施術しました。
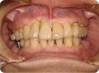
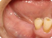
施術例④
治療前
右下の奥歯3本が欠損しています。
治療中
インプラントの土台を3本植立しました。
手術直後の写真です。
治療後
3ヵ月後、インプラントの土台にセラミック冠をかぶせました。見た目も天然の歯とほぼ変わらず自然な仕上がりとなり、しっかりと物を噛む事ができる様になりました。
