当院の矯正治療
床矯正
床矯正装置では、基本的に永久歯は抜かずに顎を広げて歯を並べます。
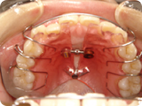
治療には写真のような、入れ歯にネジの付いた装置を使用します。床矯正の装置は簡単に取り外せるため、食事や発音障害を生じる場合(国語や英語の授業、勤務に支障がある等)は取り外します。装着時間が多い程、治療は早く終了しますが、1日12時間以上装着していれば治療は可能です。
床矯正の値段は医院によって様々ですが当院では下記の金額で診療しており簡単な症例であれば、10万円以下でも治療が可能です。
床矯正料金
| 検査・診断料 | 22,000円 | |
| 床矯正装置(スクリューあり) | 床矯正装置 (スクリューあり) |
66,000円 |
| 2回目の装置 | 33,000円 | |
| 経過観察・調整(1回) | 2,200円 |
※消費税10%を含んでおります。
※お支払方法は現金のみとなっております。
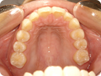
施術例
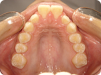
治療前
床矯正装置を装着しました。
治療中
床矯正で顎を広げ、歯が正しい位置に並ぶためのスペースを作っています。
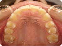
治療後
スペースができた後、ワイヤー矯正で歯列を整えました。
ワイヤー矯正
歯の表面にブラケット(ワイヤーを留めるボタン)を装着し、形状記憶合金のワイヤーを取り付けて歯を正しい位置に移動します。
取り外しはできませんが、より3次元的に早く正確に移動することができます。
ワイヤー矯正料金
| 検査・診断料 | 22,000円 |
| 全体矯正 | 286,000円~ |
| 上顎又は下顎のみ矯正 | 132,000円~ |
| 保定装置 | 33,000円 |
| 経過観察、調整(1回) | 2,200円 |
※消費税10%を含んでおります。
※お支払方法は現金のみとなっております。
施術例①
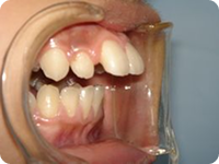
治療前
上の前歯が出ていて気になるということで、来院されました。
治療後
ワイヤー矯正で約半年間、上顎のみ治療しました。
施術例②
治療前
上の前歯の歯並びが気になるということで来院されました。ワイヤーを取り付け治療を開始した時の写真です。
治療後
10ヵ月後ワイヤーを外した時の写真です。
